UNIVERSITY ORTHOPAEDIC CLINIC

Implant Allergy

Contact Person

  • OA Dr. med. S. Illiger

Contact: Send E-Mail

Special Consultation Hours

Allergy is defined as an acquired excessive reaction of the immune system to certain and normally harmless foreign substances (allergens), which manifests itself in typical symptoms triggered by inflammatory processes. In today's population, allergy/hypersensitivity to metallic components or also bone cement in endoprosthetics is estimated at up to 4%. 

In the context of a prosthesis fitting, incompatibilities can arise against various prosthesis components:

  • Metal alloy,
  • bone cement and
  • possibly added antibiotics.

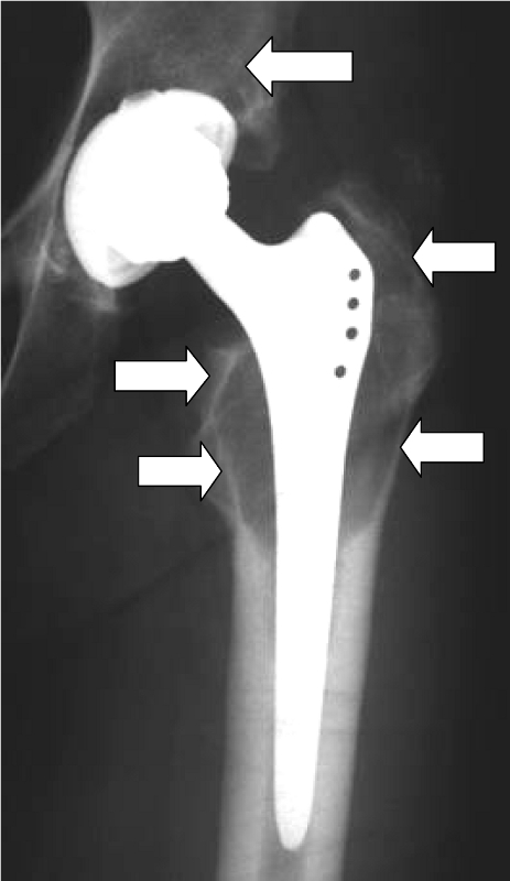
Nickel or chromium are contained in almost all orthopedic implants made of stainless steel or cobalt-chromium alloys. Sensitization of the immune system to metal ions is a prerequisite for the development of implant intolerance. An important factor in the development of intolerance is the amount of particle formation (metal ions), as well as the release and distribution of metal ions. Correspondingly, corrosion and wear behavior of the implant material have a significant influence on the development of a hypersensitivity reaction. This usually occurs after a symptom-free interval. Activation of various cells of the immune system finally leads to premature loss of the prosthesis.

Although statistically only a small proportion of patients develop such hypersensitivity (the figures are less than 1% or between 1 and 4%, depending on the author), we attach great importance to the diagnosis and treatment of hypersensitivity reactions to prostheses in our hospital. If there is a proven allergy to prosthesis components, patients can be fitted with special prostheses made of titanium (hip) or implant coatings (knee). All-ceramic prostheses are currently still undergoing clinical trials. Before considering an implant allergy, however, other causes of the complaints, such as infections, mechanical problems or malpositioning, should be ruled out.

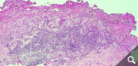
Skin tests (epicutaneous tests) do not show a clear correlation to the reaction of a joint to the implant, so that even skin testing for a metal or cement allergy cannot give a 100% indication. Therefore, in case of doubt, it is necessary to perform a tissue biopsy from the affected joint to provide the appropriate level of certainty. In the case of an allergy, lymphocyte infiltrates are frequently found in these tissues.

Beschichtete KnietotalendoprotheseDiffuse Lymphozyteninfiltration in der GelenkkapselOsteolyse um einen Prothesenschaft (Pfeile)

Last Modification: 01.02.2021 - Contact Person:

Sie können eine Nachricht versenden an: Webmaster
Sicherheitsabfrage:
Captcha
 
Lösung: