UNIVERSITY ORTHOPAEDIC CLINIC

Implantation of an artificial shoulder joint (shoulder prosthetics)

Causes

In most cases, the reason for the installation of a shoulder prosthesis is painful joint wear ("omarthrosis"), which is usually associated with a significant restriction of shoulder function.

Several factors can be responsible for the pronounced cartilage or bone wear between the humeral head and glenoid cavity.
In most cases, the wear and tear or destruction of the shoulder joint results from age-related and/or increased mechanical stress.
In addition, consequences of accidents (e.g. a fracture of the humeral head), older tendon tears (rotator cuff defects), circulatory disorders of the humeral head, chronic rheumatoid arthritis or premature wear due to chronic joint instability can be responsible for the development of omarthrosis.

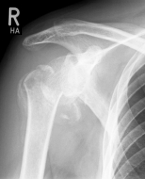
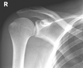
Abbildung2Abbildung1

left: X-ray image of an omarthrosis
right: X-ray of a healthy shoulder joint

 

Diagnostics

Clinical examination often reveals a painful restriction of shoulder movement. A reduction in strength of the shoulder or arm is also frequently detectable. Friction phenomena, so-called "crepitations", are conspicuous on examination.

X-rays can be used to reliably diagnose the extent of joint wear. In the case of severe osteoarthritis, for example, the joint space and the formation of jagged edges (osteophytes) can be detected. If additional damage to the tendons of the shoulder (rotator cuff) is suspected, ultrasound examination (sonography) or magnetic resonance imaging (MRI) can help clarify the situation.

Treatment

The main goal of treatment is to reduce pain and improve function, so that an improvement in the quality of life is achieved. The extent to which an improvement in the mobility of the joint is possible depends very much on the individual initial findings.

Depending on the individual situation, different types of prostheses are used:

 

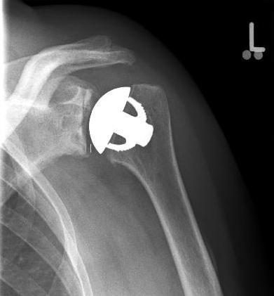
Abbildung3Abbildung4Surface replacement ("cap prosthesis" of the humeral head) in cases of mild omarthrosis and still well-preserved glenoid cavity

links: X-ray image of a cap prosthesis ("surface replacement")
right: cap prosthesis ("surface replacement", type "Durom" Fa. Zimmer)gkl

 

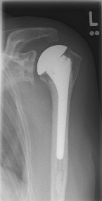
Abbildung6Conventional stem prostheses for omarthrosis and acetabular wear

left: X-ray image of a shaft prosthesis
right: anatomical shoulder prosthesis with glenoid replacement (Affinis type, Mathys company)

 

Abbildung7Abbildung8

Short stem prostheses as modern implants for omarthrosis and acetabular wear
left: X-ray image of a short-shaft prosthesis
right: Short-shaft prosthesis (Affinis Short type, Mathys company)

 

Abbildung9Abbildung10 Special prostheses such as an inverse shoulder prosthesis (syn.: "Delta prosthesis", "Grammont prosthesis") for the combination of severe omarthrosis with joint instability and rotator cuff defects

Right: radiograph of an inverse shoulder prosthesis for rotator cuff defect arthropathy.
left: Inverted shoulder prosthesis (Aequalis reversed type, Tornier company).

 

Abbildung11(2)Abbildung11

Fracture prostheses for complicated humeral head fractures

left: X-ray of a humeral head fracture before treatment with a fracture prosthesis.
right: X-ray of a humeral head fracture after treatment with a fracture prosthesis

 

The inpatient stay is approximately 7 days, including the day of arrival before surgery.

 

After-care Treatment

Physiotherapeutic follow-up treatment begins on the first day after surgery and is individually adapted depending on the patient and the type of prosthesis used.
Patients receive an orthosis (bandage of the arm, "Gilchrist bandage") for 4 to 6 weeks. During this time, movement and weight-bearing on the arm are also deliberately restricted to ensure that detached tendons heal safely. This is followed by further physiotherapy aimed at restoring or improving strength and active mobility of the shoulder.

Last Modification: 23.02.2021 - Contact Person:

Sie können eine Nachricht versenden an: Webmaster
Sicherheitsabfrage:
Captcha
 
Lösung: